What is budding in people?

Published:
Updated:
What is budding in people?

The concept of "budding" frequently surfaces when discussing something new that is just starting to appear or show promise. At its most fundamental, the term describes a state of beginning to develop. [1][2] It carries a distinct connotation of early stage growth, implying that what is currently small or rudimentary will expand into something more substantial over time. [3][9] This word is often used adjectivally to describe a person, object, or situation that possesses the early signs of potential or future maturity. [1][3]

# Beginning to develop

What is budding in people?, Beginning to develop

As an adjective, "budding" paints a picture of youth, inexperience, or nascent talent. [2] When one refers to a budding artist, for example, they are acknowledging that the individual is not yet established but is actively showing the initial skills and promise associated with their field. [3] Similarly, in a more abstract sense, it can describe a relationship or an enterprise that is in its very early stages, full of possibility but not yet fully realized. [9] Different reference sources confirm this central idea of emerging form or capacity. [1][2][7][8] For instance, the term captures that moment just before a full bloom or complete manifestation of a characteristic. [9]

# Small growth

When used as a noun, "budding" refers directly to a small outgrowth or a structure that is itself beginning to grow. [8][7] This usage moves from the descriptor of a process to the name of the nascent object itself. [7] While dictionaries define the noun form in various contexts, including botany, the core meaning remains centered on an undeveloped appendage or small projection. [1][2][9] This smaller, initial phase is key; it is not the mature structure but the precursor that houses the potential for it. [3]

# Asexual growth

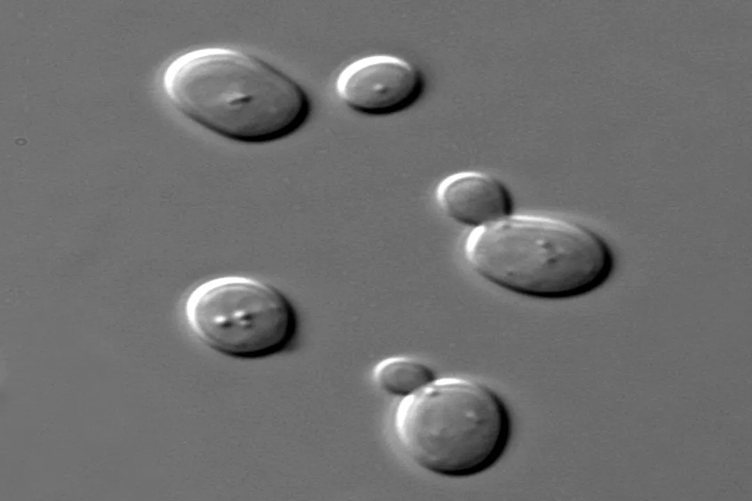
To fully appreciate how this term applies to people, understanding its biological origin is helpful, even if the human application is often metaphorical or specific to physiology. [5] In biology, budding is a form of asexual reproduction where a new organism develops from an outgrowth or bud due to cell division at one particular site. [5] Organisms like yeast and hydra demonstrate this process, where a small, genetically identical outgrowth detaches from the parent to become an independent entity. [5] This biological parallel emphasizes the idea of self-contained, localized initial formation—a small part separating or emerging from a larger whole to start its own development trajectory. [5]

# Initial tissue

When the term "budding" is applied specifically to people, it often moves away from general potential and enters a more concrete, physiological context, frequently appearing in discussions about bodily changes during puberty or developmental transitions. [6] In these specific, sometimes informal or shared community discussions, "budding" has come to describe the very first, often subtle, physical manifestations of specific tissue growth. [6] A prominent example relates to the earliest observable stages of breast development, where small, sensitive nodules or localized thickening beneath the nipple can be felt or seen. [6] This is the physical, nascent stage—the bud of the mature structure—emerging from the surrounding tissue. [6] This particular usage highlights that the development is active and physical, not just conceptual, even if the growth is minimal at first. [6]

Comparing this specific human physical manifestation with the general definition reveals a critical distinction. General budding speaks to potential (a budding career), [3] whereas the physiological "budding" refers to the tangible initiation of a structure (the actual physical bud). [6] In the general sense, the outcome is only implied; in the specific human context, the process is tied to hormonal influence and measurable physical changes happening now. [6]

For example, consider tracking development over time. In the abstract, one might say a writer is budding after their first published short story. [3] In the physical context, the "budding" stage of breast development is characterized by initial tenderness and the formation of a small, firm area, sometimes described as being the size of a pea or small marble, indicating that the process has successfully transitioned from a latent state to an active growth phase. [6]

# Developmental phases

Understanding the progression is important when encountering this term in a developmental context. If the biological process is seen as a precursor to full autonomy, then the human physiological "budding" serves as the unmistakable initial marker that puberty or a directed developmental path has commenced in that specific area. [6] It marks the transition from an undifferentiated state to one where the specific form, destined to mature, has definitively begun to take shape. [5][6]

It is fascinating to observe how language adapts to describe these biological milestones. While scientific literature might use precise terms for these stages, the word "budding" provides an accessible, immediate shorthand recognized by many for that fragile, exciting first sign of change. [4]

To help conceptualize the differences in how the term is deployed, we can summarize the contexts:

Context Primary Meaning Stage Implied Source of Growth
General Adjective Showing early promise or potential Latent/Emerging Experience/Skill/Time
Biological Noun An outgrowth that will separate Active but small Asexual reproduction/Cell division
Human Physical Initial formation of specific tissue Tangible physical start Hormonal influence/Maturation

When observing this early stage in any process—whether it is a career, a new skill, or a physical development—the primary takeaway is that the foundation is being laid. [1][2][3] The observer should recognize that the visible change is not the final product but a declaration of intent from the underlying system, whether that system is a person's creative drive or their endocrine function. [9] The most valuable action at this juncture is often not immediate judgment on the final outcome but rather careful nurturing of the initial structure, recognizing its fragility. [6]

In professional or personal growth, this translates to offering the budding talent the right resources or recognizing that a new business idea in its budding phase needs protection from harsh criticism. [4] Similarly, in the context of physical development, understanding that this initial stage is sensitive and requires time allows for patience rather than pressure for immediate, mature results. [6] The term itself reminds us that every significant outcome began as something small, easily overlooked, and requiring time to fully reveal its form. [9] The persistence required for the biological process to complete itself mirrors the dedication needed to see any initial promise through to fruition. [5]

#Citations

  1. BUDDING Definition & Meaning - Merriam-Webster
  2. BUDDING definition in American English - Collins Dictionary
  3. Budding - Definition, Meaning & Synonyms - Vocabulary.com
  4. What is the meaning of "Budding"? - Question about English (US)
  5. Budding - Wikipedia
  6. What is budding?? : r/MtF - Reddit
  7. Budding | The Dictionary Wiki | Fandom
  8. BUDDING Definition & Meaning - Dictionary.com
  9. Budding Definition & Meaning | Britannica Dictionary

Written by

Virginia Wood
persongrowthdevelopmentbudding